- Clinical Images
- Open Access
- Published:
Sats in the 60s
International Journal of Emergency Medicine volume 1, page 51 (2008)
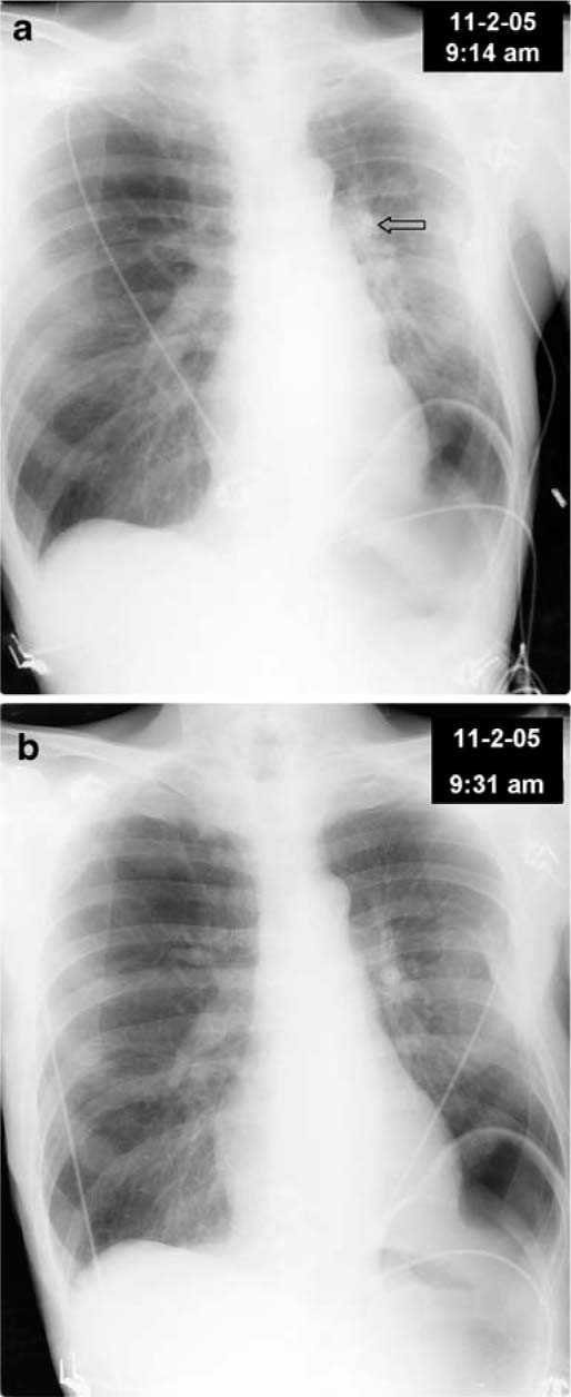
A 61-year-old man presented to the emergency department (ED) with sudden onset shortness of breath, coughing paroxysms, and a brief loss of consciousness. The emergency medical services (EMS) noted the patient to be diaphoretic and unresponsive, with a prior history of single lung transplantation. His current medications were multiple, without known allergy. Upon ED arrival, the patient was alert and oriented with normal vital signs, except for a marked tachypnea and saturations of 64% on 100% oxygen via a non-rebreather face mask. The initial chest radiograph shows a density in the left upper lung field, missed on the radiologist’s reading of the film (Fig. 1a, arrow). Shortly thereafter, the patient began to cough violently and expelled a large pellet of chalk-like material, ascertained to be the remnants of a calcium supplement. Post expulsion, the oxygen saturation immediately rose to 99% and his respiratory rate decreased to 14. A repeat chest radiograph revealed an absence of the calcified density in the left upper lobe, and clear reduction of adjacent parenchymal atelectasis (Fig. 1b). Clinicians should consider the possibility of pill aspiration on the differential for sudden marked hypoxia and tachypnea, especially in post lung transplant patients.
Author information
Affiliations
Corresponding author
Rights and permissions
Open Access This is an open access article distributed under the terms of the Creative Commons Attribution Noncommercial License ( https://creativecommons.org/licenses/by-nc/2.0 ), which permits any noncommercial use, distribution, and reproduction in any medium, provided the original author(s) and source are credited.
About this article
Cite this article
Schears, R.M., Hess, J.M. Sats in the 60s. Int J Emerg Med 1, 51 (2008). https://doi.org/10.1007/s12245-008-0001-y
Received:
Accepted:
Published:
Issue Date:
Keywords
- Chest Radiograph
- Emergency Medical Service
- Single Lung
- Marked Hypoxia
- Lung Transplant Patient
