- Case Report
- Open Access
- Published:
Dentist’s drill allergy?
International Journal of Emergency Medicine volume 3, pages 427–429 (2010)
Abstract
Subcutaneous emphysema of the face and neck can develop following restorative dentistry, particularly when air turbine drills are used. We present a case in which the dentist mistook the subcutaneous emphysema following such a procedure for an allergic/anaphylactic reaction and sent him to the emergency department in an ambulance. The differential diagnosis and the subsequent management, including the role of oxygen and techniques to prevent such complications, are discussed.
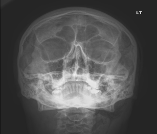
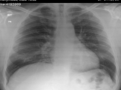
A 40-year-old man developed a swelling to his left side of his face during the course of a root canal treatment. He was undergoing some dental restoration of his left upper second molar. During the cavity preparation, the dentist noticed some swelling over the left parotid area that slowly started to spread to the left cheek and lower eyelid. The root canal treatment was stopped, and the patient was referred to our emergency department as an allergic reaction/anaphylactic reaction by his dentist in an ambulance. Examination revealed a swollen left half of his face (Fig. 1) with crepitus on palpation. There was no trismus. There was no increase in the size of the swelling during his stay in the department. There was no dysphagia. The vital signs were normal, and he was apyrexial. The cardiovascular and respiratory system examination was normal. The sudden onset of head and neck swelling after a dental procedure made us draw up a list of differential diagnoses that included haematoma, cellulitis, allergic reaction, angioedema and subcutaneous emphysema. However, we managed to exclude the others one by one on clinical examination, haematological, biochemical and radiological investigation. Haematoma was unlikely as there was no active bleeding during the procedure or after the procedure. There was no tenderness on palpation, no visible haematoma on intra- or extra-oral examination, no history of clotting abnormalities, and his clotting studies were normal. Cellulitis was unlikely as there were no local signs of inflammation such as warmth, redness, tenderness or raised temperature. The white cell count and the C-reactive protein were normal as well. The swelling was localised to the left half of the face and neck with no other rash or swelling elsewhere. The patient was not known to be allergic to any substances and had undergone previous root canal procedures under the same dentist. This ruled out an allergic reaction. Furthermore, intraoral examination did not reveal any swelling to the tongue or the uvula or lips, etc. There was no family history of allergy or angioedema. He was not on any medications that could have caused angioedema. Furthermore, angioedema swelling does not produce palpable crepitus. This ruled out an angioedema. There was palpable crepitus felt over the swelling on clinical examination. Given that an air turbine dentist drill was used, a diagnosis of subcutaneous cervico-facial emphysema was made. The subcutaneous emphysema was confirmed on facial x-rays (Fig. 2). A chest x-ray was also performed to rule out the presence of a pneumomediastinum (Fig. 3). The patient was admitted to our Clinical Observation Unit and was provided with high-flow supplemental oxygen via a reservoir bag. He was also treated with antibiotics (Co-Amoxiclav 625 mg three times a day for 7 days). No antihistamines, adrenaline or corticosteroids were used in his management. The patient made an uneventful recovery, his facial swelling subsided, and he was discharged home around 14 h after his initial presentation to the Emergency Department.
Subcutaneous emphysema (SCE) is a well-documented but little known complication of restorative dentistry particularly when using an air turbine drill [1, 2]. SCE has occurred following root canal or periodontal treatment, dental extraction and dental implants as such procedures are likely to disrupt the dentoalveolar membrane [3]. The use of hydrogen peroxide has also been implicated in the development of SCE [4]. In our case, hydrogen peroxide was not used. Due to the action of pneumatic dental drills, which is driven by compressed air, air can be forced into the subcutaneous tissues of the face through the various fascial planes. This is usually a local effect, but air can track into deeper structures resulting even in a pneumomediastinum [5]. However, there have been reports of airway compromise [6] and even death from air embolism [7] secondary to subcutaneous emphysema following endodontic procedures. Treatment is usually supportive as the subcutaneous emphysema resolves within days. An antibiotic was used in our case as air driven into the subcutaneous tissue would likely carry some oral flora with it that could potentially lead to soft tissue infection [8] including mediastinitis [9]. We used Co-Amoxiclav in line with our hospital antibiotic guideline policy, which provides good cover against oral flora. As our patient had an important meeting to attend the next morning, we provided the patient with supplemental oxygen so as to speed the resolution of the subcutaneous emphysema. There has been no reference in the literature except of case reports describing the use of high-flow oxygen in the management of SCE [10, 11]. However, extrapolating data from the studies using high-flow oxygen in the management of pneumothorax [12], we used it on our patient with dramatic success. The theory behind the use of high flow oxygen is that nitrogen is the largest component of the atmosphere and is not metabolized. Increasing the partial pressure of oxygen in the inspired air will alter the partial pressure gradient of nitrogen in the subcutaneous tissues, which helps increase the rate of resorbption of the subcutaneous emphysema by up to six fold if 100% humidified oxygen is inspired [13]. Use of a rubber dam, vented high speed devices or using sonic/ultrasonic hand drills and avoiding hydrogen peroxide are some of the techniques that have been used to prevent the development of SCE during endodontic procedures [14].
References
- 1.
Mather AJ, Stoykewych AA, Curran JB (2006) Cervicofacial and mediastinal emphysema complicating a dental procedure. J Can Dent Assoc 72(6):565–568
- 2.
Aquilina P, McKellar G (2004) Extensive surgical emphysema following restorative dental treatment. Emerg Med Aust 16:244–246
- 3.
Falomo O (1984) Surgical emphysema following root canal therapy. Oral Surg Oral Med Oral Pathol 58:101–102
- 4.
Kaufman A (1981) Facial emphysema caused by hydrogen peroxide irrigation: report of case. J Endod 7:470–472
- 5.
Guest PG, Henderson S (1991) Surgical emphysema of the mediastinum as a consequence of attempted extraction of the third molar tooth using an air turbine drill. Br Dent J 171:283–284
- 6.
Breznick DA, Saporito JL (1989) Iatrogenic retropharyngeal emphysema with impending airway obstruction. Arch Otolaryngol Head Neck Surg 115:1367–1372
- 7.
Rickls NH, Joshi BA (1963) Death from air embolism during root canal therapy. J Am Dent Assoc 67:399–404
- 8.
Wright K, Derkson G, Riding K (1991) Tissue-space emphysema, tissue necrosis and infection following use of compressed air during therapy: case report. Paediatr Dent 13:110–113
- 9.
Wheatley M, Stirling M, Kirsh M, Gago O, Orringer M (1990) Descending necrotizing mediastinitis: transcervical drainage is not enough. Ann Thorac Surg 49:780–784
- 10.
Josephson GD, Wambach BA, Noordzji JP (2001) Subcutaneous cervicofacial and mediastinal emphysema after dental instrumentation. Otolaryngol Head Neck Surg 124:170–171
- 11.
Karras SC, Sexton JJ (1996) Cervicofacial and mediastinal emphysema as the result of a dental procedure. J Emerg Med 14:9–13
- 12.
Northfield TC (1971) Oxygen therapy for spontaneous pneumothorax. Br Med J 4:86
- 13.
Huang T-W, Lee S-C, Cheng Y-L et al (2007) Contralateral recurrence of primary spontaneous pneumothorax. Chest 132:1146–1150
- 14.
Battrum DE, Gutmann JL (1995) Implications, prevention and management of subcutaneous emphysema during endodontic treatment. Dent Traumatol 11(3):109–114
Conflict of interest
All authors have no conflicts of interest to declare.
Patient consent for the material to be published has been obtained.
Author information
Affiliations
Corresponding author
Rights and permissions
Open Access This is an open access article distributed under the terms of the Creative Commons Attribution Noncommercial License ( https://creativecommons.org/licenses/by-nc/2.0 ), which permits any noncommercial use, distribution, and reproduction in any medium, provided the original author(s) and source are credited.
About this article
Cite this article
Sainsbury, D., Jaiganesh, T. Dentist’s drill allergy?. Int J Emerg Med 3, 427–429 (2010). https://doi.org/10.1007/s12245-010-0189-5
Received:
Accepted:
Published:
Issue Date:
Keywords
- Subcutaneous emphysema
- Dental air turbine drill


